Impacted Wisdom Teeth: Signs, Symptoms & Treatment

verified Reviewed by Dr. Kira San, BDSc (JCU) · Updated 6 May 2026
wisdom teethimpacted teethoral surgerydental symptomsdental health

What Are Impacted Wisdom Teeth?

Impacted wisdom teeth are third molars that fail to fully erupt through the gum due to insufficient space in the jaw, an abnormal growth angle, or obstruction by adjacent teeth. Approximately 70% of Australians will develop at least one impacted wisdom tooth, making it one of the most common dental conditions. Impacted wisdom teeth can cause pain, infection, cyst formation, and damage to neighbouring teeth if untreated. The human jaw has become smaller through evolution while the number of teeth has remained the same, meaning wisdom teeth — typically erupting between ages 17 and 25 — frequently lack space to emerge properly. A study in the Australian Dental Journal found that impaction prevalence in Australia has increased over the past century, correlating with dietary changes and jaw development. At Townsville Dental Clinic in North Queensland, we use digital OPG X-rays and CBCT 3D imaging to diagnose impaction type and severity and develop a tailored treatment plan.

Types of Wisdom Tooth Impaction

Wisdom teeth can become impacted at different angles and depths. The type of impaction determines the complexity of extraction and the associated risks.

Type of ImpactionDescriptionFrequencyExtraction Complexity
Mesial (mesioangular)Tooth is angled forward, towards the front of the mouth, pressing against the second molarMost common (~45%)Moderate — often requires surgical extraction with tooth sectioning
VerticalTooth is oriented correctly (upright) but lacks space to erupt through the gumCommon (~35%)Moderate — may erupt partially; surgical if fully trapped
HorizontalTooth is lying completely on its side, perpendicular to the other teethLess common (~10%)High — almost always requires surgical extraction with bone removal
Distal (distoangular)Tooth is angled backward, away from the second molar, towards the jaw ramusLeast common (~10%)High — difficult access; often the most complex extraction

Depth of Impaction

In addition to angle, the depth of impaction affects treatment planning:

Depth ClassificationDescriptionImplication
Soft tissue impactionTooth has penetrated through bone but remains covered by gum tissueLess complex surgical extraction
Partial bony impactionTooth is partially encased in the jawboneModerate surgical extraction; bone removal required
Full bony impactionTooth is completely encased in the jawboneMost complex extraction; significant bone removal required

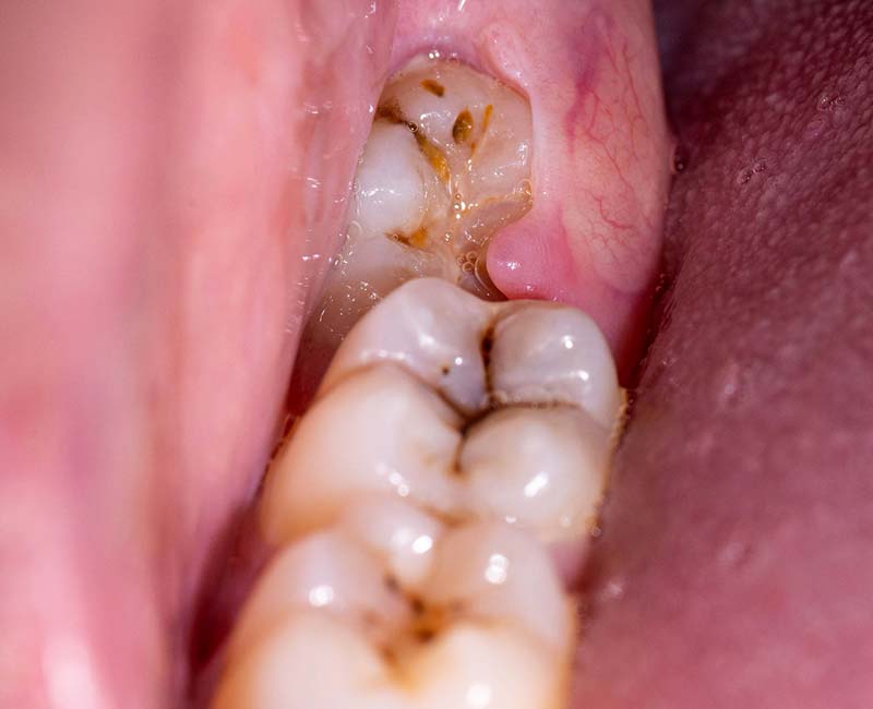
Signs and Symptoms of Impacted Wisdom Teeth

Impacted wisdom teeth can be asymptomatic (producing no symptoms) or symptomatic. Many patients first learn they have impacted wisdom teeth during a routine dental X-ray. When symptoms do occur, they may include:

Common Symptoms

  • Pain at the back of the jaw — dull, aching, or throbbing pain behind the last molar
  • Swollen, red, or tender gum tissue — particularly over or behind the last visible tooth
  • Pericoronitis — infection of the gum tissue overlying a partially erupted wisdom tooth, causing pain, swelling, difficulty swallowing, and sometimes fever
  • Difficulty opening the mouth (trismus) — inflammation and swelling restrict jaw movement
  • Bad breath (halitosis) — trapped food and bacteria around the partially erupted tooth
  • Unpleasant taste — discharge from an infected gum pocket
  • Headache, earache, or facial pain — referred pain from the impacted tooth and surrounding inflammation

How Impacted Wisdom Teeth Are Diagnosed

Clinical Examination

Your dentist will examine the back of your mouth for signs of partial eruption, gum inflammation, swelling, or tenderness. Limited mouth opening and swollen lymph nodes may also be noted.

OPG (Orthopantomogram) X-Ray

The standard diagnostic imaging for wisdom teeth is an OPG X-ray, which provides a panoramic view of both jaws, all teeth, and surrounding structures in a single image. The OPG reveals:

  • The position and angle of each wisdom tooth
  • The degree of impaction (soft tissue, partial bony, or full bony)
  • Proximity to the inferior alveolar nerve canal
  • Presence of cysts, tumours, or pathological changes
  • Condition of adjacent teeth (decay, root resorption)

CBCT (Cone Beam CT) 3D Scan

When the OPG shows that wisdom tooth roots are in close proximity to the inferior alveolar nerve, a CBCT scan is recommended. This 3D imaging technology provides cross-sectional views that show the exact spatial relationship between the tooth roots and the nerve canal, allowing the surgeon to plan the safest extraction approach and discuss specific nerve injury risk with the patient.

Treatment Options for Impacted Wisdom Teeth

1. Monitoring (Watch and Wait)

Appropriate for fully impacted, deeply buried wisdom teeth that are:

  • Completely asymptomatic
  • Showing no pathological changes on X-ray
  • Not affecting adjacent teeth
  • Unlikely to be needed for orthodontic reasons

Monitoring involves regular clinical examinations and X-rays (typically every 1-2 years) to detect any changes. The Australian Dental Association does not recommend routine prophylactic extraction of asymptomatic, fully impacted wisdom teeth with no pathological findings.

Surgical extraction is the definitive treatment for problematic impacted wisdom teeth. The procedure involves:

  1. Anaesthesia — local anaesthetic numbs the area; sedation is available for anxious patients
  2. Incision — a flap is created in the gum tissue to expose the tooth and bone
  3. Bone removal — if bone is covering the tooth, it is carefully removed with a surgical handpiece
  4. Tooth sectioning — the tooth may be divided into sections for easier removal, reducing the amount of bone that needs to be taken
  5. Extraction — each section of the tooth is removed individually
  6. Irrigation and debridement — the socket is thoroughly cleaned and irrigated
  7. Closure — the gum flap is repositioned and secured with dissolvable sutures

Extraction Complexity by Impaction Type

Impaction TypeBone RemovalTooth SectioningTypical DurationRelative Difficulty
Soft tissueMinimal or noneUsually not required20-30 minLow to moderate
Partial bony (mesial)ModerateOften required30-45 minModerate
Partial bony (vertical)ModerateSometimes required25-40 minModerate
Full bony (horizontal)SignificantAlmost always required45-60 minHigh
Full bony (distal)SignificantOften required45-60 minHigh

Research consistently supports extraction of impacted wisdom teeth that are symptomatic, partially erupted, or showing pathological changes:

  • Pericoronitis recurrence — a study in Oral Surgery, Oral Medicine, Oral Pathology found that 50-60% of patients with one episode of pericoronitis will experience recurrence within 12 months
  • Damage to adjacent teeth — impacted wisdom teeth cause decay in the adjacent second molar in 7-12% of cases (Journal of the American Dental Association)
  • Cyst development — dentigerous cysts develop around approximately 2-5% of unerupted wisdom teeth over time, with the risk increasing with age
  • Increasing surgical complexity with age — extraction is simpler and recovery faster in patients under 25, when the roots are not fully formed and the bone is less dense

The 70% of Australians who require wisdom tooth extraction benefit from early assessment and planned removal rather than emergency extraction when complications arise.

Recovery After Impacted Wisdom Tooth Removal

Recovery from surgical extraction of impacted wisdom teeth typically involves 2-3 days of peak swelling and discomfort, followed by steady improvement from day 4-7. Most patients return to normal activities and diet within 7-14 days, with complete soft tissue healing at 2-4 weeks and bone remodelling taking 3-6 months beneath the healed gum. Deeply impacted teeth may require an additional 2-3 days at each recovery stage.

Key Takeaway

Impacted wisdom teeth are extremely common, affecting approximately 70% of Australians, and the four types of impaction — mesial, vertical, horizontal, and distal — vary significantly in complexity and required treatment. Early diagnosis through dental X-rays allows planned extraction at the optimal time (ages 17-25) when recovery is fastest and complications are least likely. If you are experiencing pain at the back of your jaw, swollen gums, or difficulty opening your mouth, an impacted wisdom tooth may be the cause. At Townsville Dental Clinic in North Queensland, we provide comprehensive wisdom tooth assessment with digital imaging, multiple sedation options, and experienced surgical care.

Book your wisdom tooth assessment

Sources: Australian Dental Association (ADA) Clinical Guidelines; Australian Dental Journal; Journal of Dental Research; Journal of the American Dental Association; Oral Surgery, Oral Medicine, Oral Pathology.

Frequently Asked Questions

What are the signs of an impacted wisdom tooth?
The most common signs of an impacted wisdom tooth include pain or tenderness at the back of the jaw, swollen or red gum tissue behind the last molar, difficulty opening the mouth fully (trismus), bad breath or an unpleasant taste caused by trapped food and bacteria, and swelling in the jaw or cheek. Some impacted wisdom teeth produce no symptoms and are only detected on dental X-rays during routine check-ups. At Townsville Dental Clinic, we recommend OPG X-rays from age 17 to assess wisdom tooth development and detect impaction early.
Can an impacted wisdom tooth cause ear pain?
Yes, an impacted wisdom tooth can cause referred pain to the ear, temple, and side of the head. This occurs because the inferior alveolar nerve, which runs alongside the lower wisdom teeth, shares nerve pathways with the ear and temporomandibular joint (TMJ). Many patients initially mistake wisdom tooth pain for an ear infection. If you are experiencing ear pain with no signs of ear infection, your dentist or GP should assess your wisdom teeth as a potential cause.
What happens if you leave an impacted wisdom tooth untreated?
Leaving an impacted wisdom tooth untreated can lead to recurring infections (pericoronitis), decay in the adjacent second molar, cyst formation around the unerupted tooth, damage to the roots of neighbouring teeth, and chronic pain. A study published in the Journal of Dental Research found that 30-60% of untreated impacted wisdom teeth develop pathological changes within 10 years. In Townsville's tropical climate, patients with recurrent pericoronitis are particularly vulnerable as heat and humidity can exacerbate oral infections.
How are impacted wisdom teeth diagnosed?
Impacted wisdom teeth are diagnosed using a combination of clinical examination and dental imaging. An OPG (orthopantomogram) X-ray is the standard imaging tool and shows the position, angle, and depth of the impacted tooth relative to the jawbone and adjacent teeth. For complex cases where the tooth roots appear close to the inferior alveolar nerve, a CBCT (cone beam computed tomography) 3D scan provides detailed cross-sectional images for precise surgical planning.
Do all impacted wisdom teeth need to be removed?
Not all impacted wisdom teeth require removal. Extraction is recommended when the impacted tooth is causing symptoms (pain, infection, swelling), damaging adjacent teeth, developing a cyst, or is partially erupted and difficult to keep clean. Fully impacted teeth that are deeply buried, asymptomatic, and show no pathological changes on X-ray may be monitored with regular imaging rather than extracted. The Australian Dental Association advises against routine prophylactic removal of asymptomatic, fully impacted wisdom teeth.
How much does impacted wisdom tooth removal cost in Townsville?
At Townsville Dental Clinic, surgical extraction of an impacted wisdom tooth costs $350-$600 per tooth depending on the type and depth of impaction. Partially impacted teeth at the lower end of this range, and deeply impacted teeth requiring bone removal at the upper end. Removing all four impacted wisdom teeth in one session typically costs $1,400-$2,200 total. HICAPS on-the-spot health fund claiming is available to reduce your out-of-pocket cost.

Related Pages

See Also

calendar_month

Ready to Book?

Contact our friendly team to discuss your options and schedule a consultation.